Caring for You, Every Step of the Way - Helpline: (+91) 8882036990, 0120-3633454

Revision Knee Replacement

Comprehensive Care for Every Stage of Life

To Book Appointment Call us

To Book Appointment Call Us:

Our Orthopedic Experts
Dr. Akhilesh Yadav

Orthopaedics

MBBS, MS,Mch
(Exp: 18 Years)

Dr. Himanshu Gupta

Orthopaedics

MBBS, MS, Mch
(Exp: 18+ Years)

Dr. Abhishek Rao

Orthopaedics

MBBS, MS, DNB, MNAMS

Best Doctors in Greater Noida West
Dr. Manu Gautam

Orthopaedics

MBBS, M.S Ortho
(Exp: 20+Years)

Best Doctors in Greater Noida West
Dr. Aseem Kumar

Orthopaedics

MBBS, M.S

Dr. Vikas Negi

Orthopaedics

MBBS, M.S Ortho
(Exp: 10+ Years)

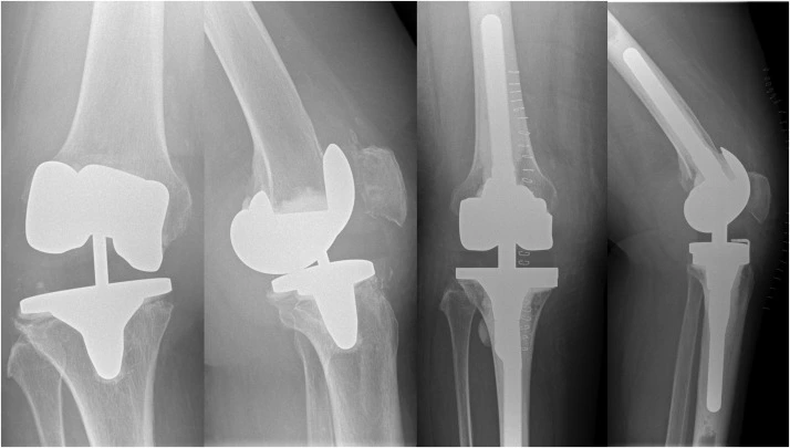
At Numed Hospital, we understand that a failed knee implant can be painful and frustrating. Our expert orthopedic team specializes in revision knee replacement, helping patients regain mobility and live pain-free. With cutting-edge technology and personalized care, we ensure that your second surgery is a lasting success.

What is Revision Knee Replacement?

Revision knee replacement is a specialized surgical procedure performed when a previous knee implant has worn out, loosened, or developed complications such as infection or instability. Unlike a primary knee replacement, revision surgery is more complex and requires experienced orthopedic surgeons, advanced planning, and high-quality implants—everything we offer at Numed Hospital.

When Do You Need a Revision Knee Replacement?

A revision knee replacement may be necessary in the following cases:

  • Implant Wear and Loosening – Over time, knee implants may deteriorate, causing pain and instability.
  • Infection – If bacteria infect the joint, it may require removing and replacing the implant.
  • Fractures Around the Implant – Bone fractures near the implant may make revision surgery necessary.
  • Stiffness and Limited Mobility – Scar tissue or misalignment can restrict movement.
  • Persistent Pain and Swelling – Ongoing discomfort despite initial surgery may indicate implant failure.

How Revision Knee Replacement is Performed at Numed Hospital

At Numed Hospital, our expert orthopedic team follows a systematic approach to ensure the best possible outcome:

  1. Comprehensive Diagnosis & Preoperative Planning – We use advanced imaging and testing to assess the knee’s condition.
  2. Safe Removal of the Old Implant – Our skilled surgeons carefully remove the failed prosthesis.
  3. Bone Grafting & Reinforcement (if needed) – If bone loss has occurred, we use specialized grafting techniques.
  4. Precise Placement of the New Implant – A high-quality revision knee implant is used for better durability and function.
  5. Post-Surgery Rehabilitation & Support – Our dedicated physiotherapy team helps you recover quickly and safely.

Recovery & Rehabilitation

Recovery from revision knee replacement may take longer than a primary knee replacement. At Numed Hospital, we offer:

  • Pain Management Plans – Medications and therapies tailored to each patient.
  • Advanced Physiotherapy – Customized rehabilitation exercises to restore strength and mobility.
  • Regular Follow-Ups – Close monitoring to ensure smooth recovery.

Why Choose Numed Hospital for Revision Knee Replacement?

At Numed Hospital, we are committed to providing world-class orthopedic care with a patient-first approach. Our team of highly experienced orthopedic surgeons, advanced medical technology, and state-of-the-art operation theaters ensure the best possible outcomes. Whether you’re dealing with implant failure, infection, or mobility issues, we offer the best solutions to help you move freely again.

If you’re experiencing pain or complications after a knee replacement, visit Numed Hospital—the Best Orthopedic Hospital in Greater Noida—for expert consultation and care.

FAQ's

The success rate of revision knee replacement is around 85-90%, depending on factors like implant quality, patient health, and rehabilitation after surgery. Skilled surgeons improve outcomes.

Knee revision surgery is a complex procedure requiring expert care. It involves replacing a failed implant and has higher risks but ensures improved mobility and pain relief.

Yes, you can walk after knee revision surgery. With proper rehabilitation and physiotherapy, most patients regain mobility within weeks and improve steadily over time.

Get Free E-Opinion

Name
Our Orthopedic Experts

NuMed Super Specialty Hospital is proud to feature a team of highly skilled and experienced orthopedic experts. They are dedicated to providing innovative and revolutionary clinical procedures, ensuring the best possible outcomes for our patients.

Dr. Akhilesh Yadav

Orthopaedics

MBBS, MS,Mch
(Exp: 18 Years)

Dr. Himanshu Gupta

Orthopaedics

MBBS, MS, Mch
(Exp: 18+ Years)

Dr. Abhishek Rao

Orthopaedics

MBBS, MS, DNB, MNAMS

Best Doctors in Greater Noida West
Dr. Manu Gautam

Orthopaedics

MBBS, M.S Ortho
(Exp: 20+Years)

Best Doctors in Greater Noida West
Dr. Aseem Kumar

Orthopaedics

MBBS, M.S

Dr. Vikas Negi

Orthopaedics

MBBS, M.S Ortho
(Exp: 10+ Years)

Expert Orthopedic Care at Numed Super Speciality Hospital

What Patients Speaks